
"歯並びが悪い"といっても、単に歯の並び方だけでなく、骨格の不正・筋肉・習癖・顎関節の問題などが複雑に組み合わさって生じます。
これらを的確に見極め、診断した上で
①子どもの矯正では顎の成長を助け、悪習癖を改善し、不正咬合を予防します。
②大人の矯正では審美性の改善はもちろんのこと、咬み合わせの改善を行います。
患者さまが良くなることが私自身の何よりもの喜びです。
矯正治療をお考えの方はぜひご相談ください。
東京歯科大学卒業
東京歯科大学歯科矯正学講座所属
日本矯正歯科学会会員
東京矯正歯科学会会員
1992年生まれ
血液型:A型
長所:熱中したらとことんやる
短所:心配性なところ
趣味:音楽鑑賞、美味しいもの巡り

大まかな治療方針や費用などについてお話します。
歯の型、口の中や顔の写真、頭のレントゲン写真などを採ります。
検査結果より治療方針をお伝えし、合意の上、治療の開始を行います。
4〜12歳位:顎を広げたり、成長をコントロールする治療です。
3〜6ヶ月間隔:顎の成長、歯の交換チェック
永久歯に生え変わったら、もう一度検査。問題が無ければ治療終了。多くは本格治療へ移行します。
12歳頃以降:ワイヤー装置にて正常な咬合をつくる治療です。
3〜6ヶ月間隔:治療終了後、リテーナーにて後戻りを予防します。
虫歯、歯周病のチェックとクリーニングも行います。
| 初診・相談 | 無料 |
|---|---|
| 精密検査・診断 | 33,000円 |
| セファロ撮影 ※1 | 5,500円~22,000円 |
| 早期治療 | 390,000円 |
| 本格治療 | 780,000円 |
| 早期治療から本格治療に移行 | 390,000円 |
| 再診料 | 4,300円 |
※1 撮影後お支払いいただきます。撮影する施設によって金額が異なります。
毎回の処置料、装置料、治療中の基本検査(年1回)、本格治療終了後2年までのメインテナンス料
矯正治療以外の処置(抜歯、虫歯治療、インプラントアンカー、ホワイトニング等)
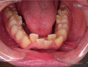
| 治療前 | ![]() |
治療後 |
![]() |
![]() |
| 治療前 | ![]() |
治療後 |
![]() |
![]() |
| 治療前 | ![]() |
治療後 |
![]() |
![]() |
矯正治療後は保定装置を使用しなかった場合、後戻りが生じる可能性高くなります。